Sethealth

victor 2020-05-21
8082 view · 80 likes
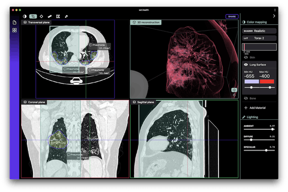
Sethealth는 각종 의료 파일을 분석하고 분석하며 익명화, 시각화, 3차원 재건, AR, 트레이스 가능성, 암호화에서 의료 데이터를 처리하는 난제를 해결했다.Dell은 과중한 업무를 수행하므로 최상의 제품을 만드는 데 집중할 수 있습니다.
Sethealth Sethealth Sethealth
Tag: #AR# #Dell#

Latest View Products

Job Description Generator Bifrost Data Search Brandsome YoRemote Material Tailwind Dashboard React Audio Snack TengineKit Facebook Cover Maker ModeMagic 2.0 ShowReel Ledavio Cherry Card Contractor Intelligence MetriQR RoboJuice Briidge Moodflow Goomics WittyCat TwikTwok Fresh Cards Listory Pin Drop Frond Hello Card UX/UI Clodui Hyper Ultimate Hub microwonder Letter from You Fluent System Icons Redacted Relanote iBucket 5.0 Carta Launch Boson YourHabit kalk Souvenir Zoom Escaper Podse.io Notchtastic Waitron.Menu Sourcery Pro Square Banking ValueTools iOS Design Kit User Interface Museum Break Into Product SEO Toolbelt Milk Video - Podcast audiogram creator ActiVote Showwcase WebsiteNgin Earlyname chaoslist Domais feedbacket Before You Apply Virus Cafe Pledre Boredaf Nadeeni Letter Builder Notebook Friendship Project Couleur Meet Myna The Brex API Spark'n Nightwatch Sidedrive Gappsy Phritz strongDM Brave Talk Syncthing 1.0 Swach Wins Grid Wallpaper ThumbGen.io Notch Simulator Headless Recorder Cinemeet LinkedIn Email Extractor Reform Bergamot Snaptrude Software Engineer Quiz Hashtag Analyzer PlatformAbuse The Rasterbator Clay Fluently Beta SparkStudio LessNoise macOS Big Sur Product Playlists toshis Doc Scanner for Mac Elpha Talent Pool PartyBid Pastel Copy Changes RedditVids Trends Everywhere Slide to Subscribe Wolff Patrizion Text Fish Annotated.Video HeadSpin Performance Report Minty 3.0 effy FastAF Nutripeek Under the Radar Expenso This Word Does Not Exist Monaeo Personal Finley Zgenda Stereo App InstaRemind YC Interviewer Verge3D Truepill Tribalist InstaPost SMB Nuggets Konf Riverside.fm OtO Lawn Globe 3D Legitmailbox ETHLend Photoshop Camera Queeng Playing Cards Vemos goodDay Mask Link LogicLike Payload CMS Gusto Wallet Berowra Craftly.AI Second State VM Brevy Beta Listenable 2.0 IPO Brief Causal for Google Sheets Leader Voterly FoodDocs My Audio Blogs CoLab EnjoyHQ Remotehour 2.0 Troposphere Coinpath Take a Break Cool & Calm Okay Hey, Skip! Founded by Google Llama Life Lightstep Incident Response New iMac Side Hustle Stack Citroen Ami Stormly Email Spotlights DripJobs Twenty Tables The WALLOBOOKS Project Overflow for Windows Gather Work Remotely Forever Their News Sprout 1.0 QuickQuery - NoSQL database manager Bang Tab Keeper AdSpyder Profile Peacock Mobilo Wood Friendtainer loomSDK beta Planning Poker for GitHub Purchasely Logica Dictozo Snazzy AI Sleeply OneClip Erase.bg appfleet Evolt Design Suite Checklist Design DopeKicks Poten Assembly 2.0 Todolink Sethealth

🔥 Recommended

Welcome

Welcome to ProductDiscover, Here has a lot of interesting things about product / develop / games.
Contact Email [email protected]

Friends

Copyright © 2021 ProductDiscover
Languages: zh en pt de hi kor jp ru